O nouă investigație modernă accesibilă în SJU. Scintigrafia cu difosfonați, metodă pentru diagnosticul amiloidozei ereditare

O nouă investigație modernă accesibilă în SJU. Scintigrafia cu difosfonați, metodă pentru diagnosticul amiloidozei ereditare
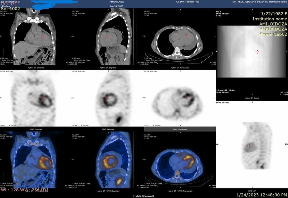
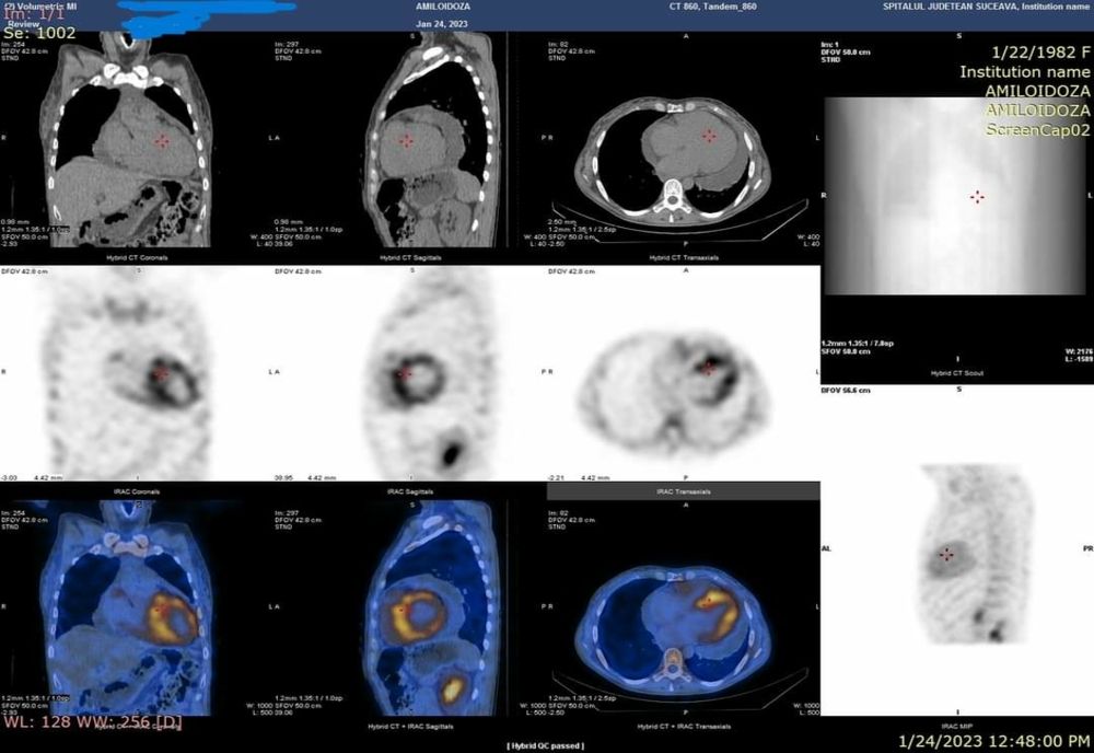
Scintigrafia cu difosfonati este o metoda non-invaziva, inclusa in algoritmul de screening si diagnosticare al Amiloidozei cu transtiretina. Acest tip de investigatie se regaseste in portofoliul de investigatii disponibile din cadrul Laboratorului de Medicina Nucleara al Spitalului Judetean de Urgenta Suceava.
Scintigrafia cu difosfonati este o metoda non-invaziva, inclusa in algoritmul de screening si diagnosticare al Amiloidozei cu transtiretina. Acest tip de investigatie se regaseste in portofoliul de investigatii disponibile din cadrul Laboratorului de Medicina Nucleara al Spitalului Judetean de Urgenta Suceava.
Amiloidoza este o boala sistemica rara, care apare atunci cand organismul nu poate descompune proteinele amiloide rezultand in depunerea acestora la nivelul tesuturilor si organelor. Afecteaza diverse parti ale corpului si poate aparea ca o consecinta normala a procesului de imbatranire, secundar unei patologii sau ca rezultat al unei mutatii genetice ce genereaza anomalii in metabolismul proteic. Amiloidoza ereditara, care afecteaza de obicei sistemul nervos, inima si rinichii, apare cel mai des atunci cand ficatul secreta o proteina anormala numita transtiretina. Este o boala progresiva, debilitanta si in ultima instanta fatala. Tratamentul specific este costisitor si pentru a putea fi administrat si totodata decontat de Casa Nationala de Sanatate este necesara parcurgerea unor etape de diagnostic, printre care este inclusa si scintigrafia cu difosfonati sau tetrofosmin.
Recent, in Laboratorul de Medicina Nucleara al SJUSV in cadrul Centrului de diagnosticare si tratament al Amiloidozei coordonat de dr. Neagu Daniela medic primar neurolog impreuna cu dr Rusu Ramona medic primar cardiolog, a fost investigat un caz de amiloidoza ereditara prin scintigrafie cu Tc99m-difosfonat. Fixarea radiofarmaceuticului in aria de proiectie cardiaca (scintigrafia corp intreg) similara fixarii costale sau peste fixarea costala este diagnostica pentru acest tip de patologie. Pentru reducerea rezultatelor scintigrafice fals pozitive, se poate efectua suplimentar achizitie SPECT/CT. Astfel se diferentiaza daca fixarea este la nivel miocardic, circulant sau extracardiac.
Colectivul Laboratorului de Medicina Nucleara al SJU Suceava este format din : dr. Gutu Mihai – medic primar Medicina Nucleara, dr. Gutu Mihaela – medic specialist Medicina Nucleara, asistenti principali Florea Ramona Ioana Oanea, Murariu Loredana, Iletchi Florentina.
Sursa: Realitatea de Suceava
Citește și:
- 21:47 - Tensiuni fără precedent: Trump discută retragerea din NATO și acuză Alianța că „a întors spatele americanilor”
- 20:32 - Gabriela Ruse, calificare spectaculoasă în sferturi la Linz! Când joacă Sorana Cîrstea pentru un loc în top 8
- 19:43 - Atac fără precedent: lideri israelieni îl acuză pe Trump că „a fugit” din conflict
- 19:02 - Tragedie în Craiova: o fetiță de 4 ani a murit după ce i s-a făcut rău într-o mașină, în parcarea unui mall
Mai multe articole despre
Urmărește știrile Realitatea de Suceava și pe Google News











