Otrava asta îţi distruge oasele! O bei în fiecare zi fără să știi cât de toxică este pentru organism

Otrava asta îţi distruge oasele! O bei în fiecare zi fără să știi cât de toxică este pentru organism
Este foarte greu să scapi de obiceiurile proaste şi este atât de simplu să renunţi la obiceiurile bune. Consumi această otravă în fiecare zi, fără să ştii cât de rău îţi face.
Este foarte greu să scapi de obiceiurile proaste şi este atât de simplu să renunţi la obiceiurile bune. Consumi această otravă în fiecare zi, fără să ştii cât de rău îţi face.
Multe persoane nu ştiu ce efecte negative are consumul de suc acidulat asupra sănătăţii. Conform cercetătorilor, sucul este otravă în pahar şi afectează corpul. Iată ce se întâmplă în corp când în bei.
În primele 10 minute - O cană conţine 10 linguri de zahăr, ceea ce înseamnă 100% din doza zilnică. Fosforul, responsabil cu aromă, intră în sistem.
După 20 de minute - Creşte nivelul de glucoză şi creşte nivelul de insulină. Ficatul transformă zahărul în grăsime.
După 40 de minute - Cafeina din suc este absorbită complet. Fluxul sanguin creşte şi ficatul eliberează şi mai mult zahăr în sânge. Creierul tău blochează receptorii hormonali pentru adenozină, ceea ce previne oboseală.
După 45 de minute - Secreţia de dopamină creşte, inducând o stare asemănătoare cu heroina.
După 50 de minute - Fosfatul de magneziu, acidul fosforic, zincul şi calciul duc la o accelerare a digestiei. Se limitează excreţia de calciu în urină.
După 60 de minute - Toate mineralele care ar trebui să ajungă în oase, inclusiv magneziul, calciul şi zincul, sunt excretate în urină.
După o oră - Te simţi plină de energie şi începi să ai schimbări de stare.
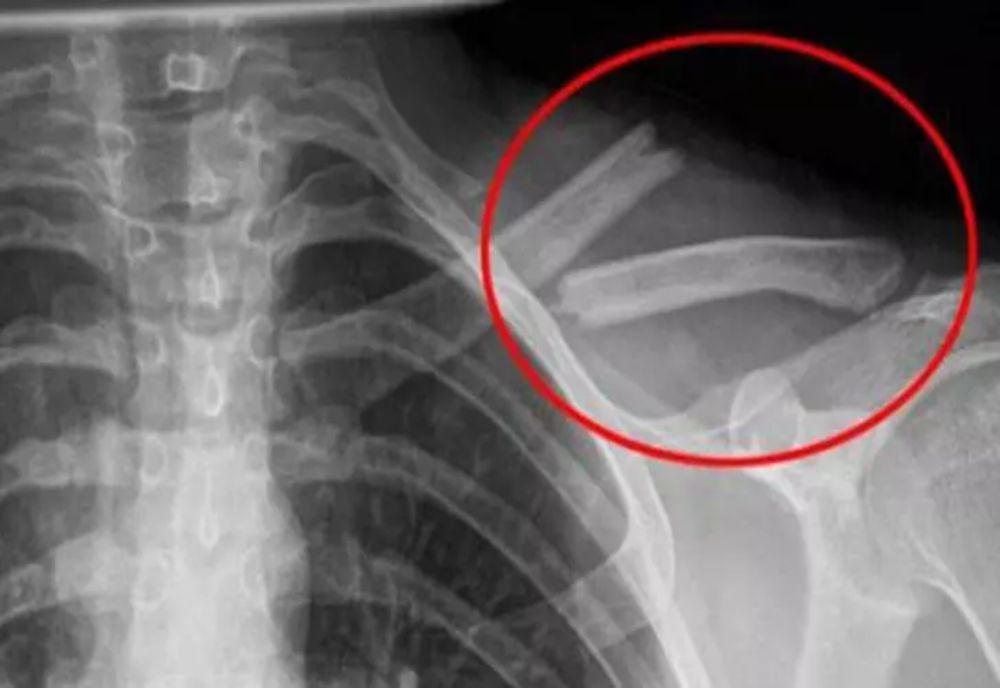
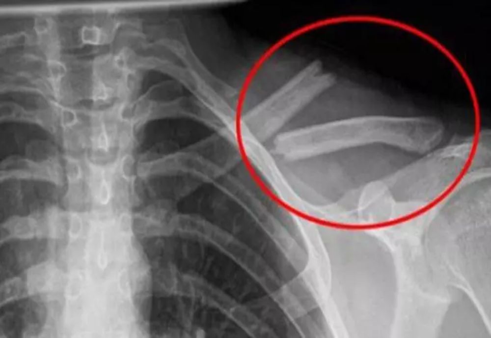
Consumul de băuturi acidulate duce la distrugerea oaselor pe termen lung.
Citește și:
- 21:30 - Călin Georgescu, mesaj crucial după retragerea licenței Realitatea Plus: "Este o nedreptate periculoasă, atât CCR, cât și CNA conduc România în locul poporului român!”- președintele interzis de Sistem, în direct la Culisele Statului Paralel
- 21:28 - Kanye West, interzis în Marea Britanie din cauza declarațiilor antisemite. Festivalul Wireless, anulat
- 21:08 - A murit Mircea Lucescu. Cariera uriașă a celui mai titrat antrenor român
- 21:02 - Călin Georgescu, mesaj crucial după retragerea licenței Realitatea Plus: „Un abuz și o nedreptate periculoasă. Ora 20:55, președintele interzis de Sistem, în direct la Culisele Statului Paralel - LIVE TEXT
Urmărește știrile Realitatea de Suceava și pe Google News











