Scintigrafie miocardică de perfuzie cu dispozitiv hibrid spect/ct – tehnică imagistică folosită în premieră pentru regiunea Moldovei la Spitalul Județean Suceava

Scintigrafie miocardică de perfuzie cu dispozitiv hibrid spect/ct – tehnică imagistică folosită în premieră pentru regiunea Moldovei la Spitalul Județean Suceava
Detectarea in timp util a tulburarilor de perfuzie ale inimii prin scintigrafia miocardica poate ajuta la prevenirea unui infarct, indicand necesitatea inceperii unui tratament medicamentos, dilatare vasculara sau interventie chirurgicala de bypass. Daca in urma acestei proceduri nu exista constatari patologice, riscul pentru un eveniment cardiac in urmatorii 5 ani este mai mic de 1%, lucru confirmat de mai multe studii clinice.
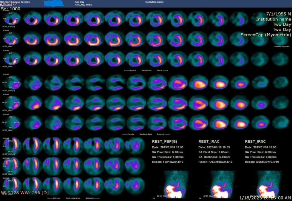
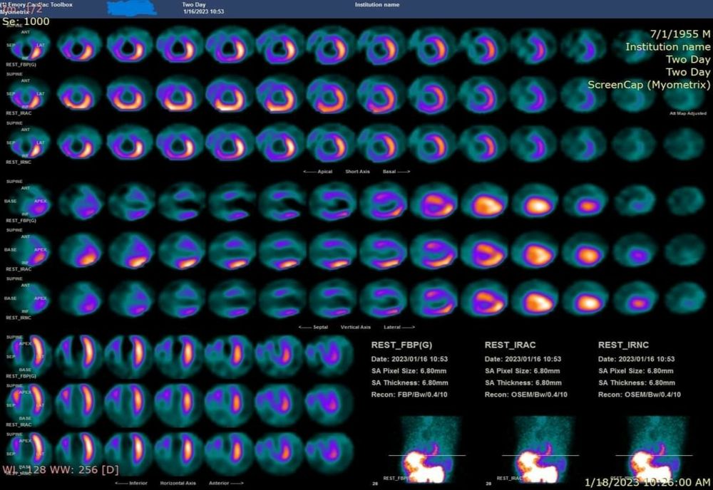
In cursul saptamanii trecute, odata cu definitivarea trainingului specific de utilizare a dispozitivului SPECT/CT in acest sens (sustinut de un trainer din Grecia), in Laboratorul de Medicina Nucleara al Spitalul Judetean Suceava s-au efectuat primele doua scintigrafii miocardice de perfuzie, o tehnica imagistica cu sensibilitate crescuta, deosebit de utila in evaluarea fluxului sanguin al muschiului inimi prin folosirea de radiotrasori. Metoda poate fi utilizata individual dar si complementar angiografiei coronariene si aduce informatii despre perfuzia miocardului deservit de artera coronara obstruata (vizualizata in prealabil angiografic) realizand astfel o evaluare functionala globala miocardica cu mare capacitate de prognostic pe termen scurt si lung. Expunerea la radiatii in timpul scintigrafiei miocardice este mai mica decat in cazul examenului de angiografie coronariana – cateterism coronarian.
Primii doi pacienti evaluati au fost:
- Un pacient cu antecedente de boala coronariana dublu stentat la care s-a evidentiat un defect de perfuzie in teritoriul arterei descendente anterioare stangi (ramura din artera coronara stanga ) sugestiv pentru infarct antero-inferior sechelar ( evaluare in conditii de repaus );
- Un pacient cu antecedente de miocardita la care s-a evidentiat un minim defect de perfuzie indus de efort reversibil in conditii de repaus ( evaluare in conditii de stres indus de efort si ulterior repaus – protocol de o zi).
Imagistica de perfuzie miocardica foloseste un preparat farmaceutic radioactiv administrat intravenos pentru a descrie distributia fluxului sangvin din muschiul inimii si identifica zonele in care fluxul relativ redus se asociaza cu un proces patologic ( ischemie sau necroza). Cu ajutorul acestei tehnici perfuzia inimii poate fi masurata atat in repaus, cat si in conditii de efort.
Indicatiile majore ale scintigrafiei de perfuzie sunt stabilite de catre medicul cardiolog: in contextul obiectivarii ischemiei miocardice vs infarct miocardic, pentru evaluarea reversibilitatii ischemiei miocardice si a caracterului sau ( indusa de efort ?) in vederea stabilirii oportunitatii unei interventii sau evaluarea perfuziei cardiace postinterventie (angioplastie, bypass, etc)
Detectarea in timp util a tulburarilor de perfuzie ale inimii prin scintigrafia miocardica poate ajuta la prevenirea unui infarct, indicand necesitatea inceperii unui tratament medicamentos, dilatare vasculara sau interventie chirurgicala de bypass. Daca in urma acestei proceduri nu exista constatari patologice, riscul pentru un eveniment cardiac in urmatorii 5 ani este mai mic de 1%, lucru confirmat de mai multe studii clinice.
Activitatea este sustinuta cu succes de colectivul Laboratorului de Medicina Nucleara al SJU Suceava format din : dr. Gutu Mihai – medic primar Medicina Nucleara, dr. Gutu Mihaela – medic specialist Medicina Nucleara, asistenti principali Florea Ramona Ioana Oanea, Murariu Loredana, Iletchi Florentin și Teodorescu-Perijoc Diana fizician medical. La evaluarea primelor doua cazuri au participat din cadrul sectiei de cardiologie, dr. Rusu Ramona – medic primar cardiolog si dr. Ilisei Alexandra medic specialist cardiolog.
Sursa: Realitatea de Suceava
Citește și:
- 15:50 - Complot dejucat în Serbia: doi bărbați, suspectați că plănuiau asasinarea lui Vučić
- 18:17 - Pensiile din iunie vor veni cu întârzire din cauza sărbătorilor legale
- 17:46 - La 102 ani merge la serviciu, învață olărit și scrie poezii. Povestea bărbatului pe care internetul l-a numit „cel mai fericit om din lume”
- 17:35 - Bătaie generală în Centrul Vechi: Fanii ucraineni veniți la un concert s-au încăierat cu un grup de motocicliști
Mai multe articole despre
Urmărește știrile Realitatea de Suceava și pe Google News














